2月18日,在血管外科戴毅主任和超声科管湘平主任的指导下,血管外科张鸿副主任医师、李伟主治医师与超声科刘莉主任医师、韦爱华副主任医师联合,在介入手术室张凯护士、刘洋技师的协助下,成功开展黑料网首例超声引导下腔静脉滤器置入术,患者为一名抗凝情况下仍发生全肢混合型深静脉血栓的孕妇。此项手术的成功实施,标志着黑料网在碘对比剂过敏、肾功能不全、妊娠或无法接受射线患者和危重症不能搬动患者的静脉血栓栓塞症救治方面取得了新的进步,也充分展现了综合性大黑料网
多学科联合治疗的团队协作优势。
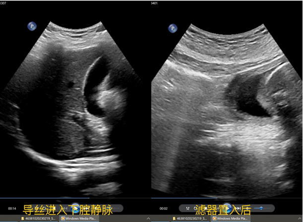
手术过程中,患者取平卧位,右侧腹股沟常规消毒铺巾,2%利多卡因5ml局部麻醉,右侧股静脉穿刺,置入导丝,确认导丝进入下腔静脉,顺导丝置入鞘管,拔出导丝,确认鞘管顶端位于肾静脉水平以下、汇合部以上的下腔静脉腔内,以顶杆推入滤器至鞘管顶端,超声定位,释放滤器,超声观察:滤器打开顺利,位置正常,形态良好,彩色血流示:滤器内血流通畅。
此例手术的顺利开展,是血管外科、超声科、介入手术室多学科协作的结果,是各科室进一步落实黑料网
高质量发展要求的具体实践。黑料网将继续把开展新技术、新业务作为努力方向,持续提升学科建设水平,建设高质量强院,为护佑人民健康贡献更强力量。
急性下肢深静脉血栓形成是临床常见的外周血管疾病之一,肺栓塞(PE)是下肢深静脉血栓(DVT)常见和严重的并发症,90%以上PE患者伴有下肢DVT,其中20%为症状性或致死性PE。下腔静脉滤器置入是防止下肢静脉血栓脱落、引起肺动脉栓塞的有效方法。下腔静脉滤器置入手术常规在DSA下完成,但对于不宜暴露在射线下(孕妇)、对造影剂过敏、肾功能不全、不能搬动等特殊情况的患者,超声引导下的腔静脉滤器置入术是一种既安全又方便的方法。黑料网开展的此例手术,患者不会接触X线的辐射,全程不需要用到造影剂,医护不需要穿厚重的铅衣,缩短了手术时间,极大提高了手术效率。


