在黑料网
高质量发展规划统筹下,在刘时璋主任的安排和协调下,骨科病院前期相继开展了机器人辅助下腰椎骨折经皮椎体成形术、孔镜下腰椎间盘突出髓核摘除术等手术,2月24日,李全义主任医师团队再次成功为一患者开展黑料网首例机器人辅助镜下腰5椎体滑脱复位椎管减压椎间融合内固定术。
患者64岁,因间断性腰痛30年,加重伴间隙性跛行2年,辗转北京及西安多所黑料网
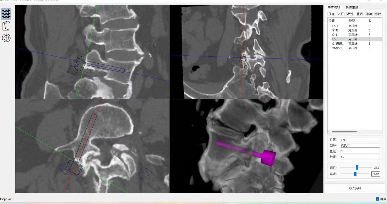
,均建议采取传统外科开放手术治疗,患者因担心手术风险,迟迟不愿手术。经多方打听,患者慕名找到李全义主任医师。入院后李全义主任医师仔细研究患者的疾病特点,经过充分的沟通,决定采用目前骨科先进的微创、精准技术—机器人辅助微创手术。李全义主任医师团队顺利为患者实施ORTHBOT脊柱机器人辅助镜下腰5椎体滑脱复位椎管减压椎间融合内固定术,以机器人辅助微创手术解决了患者的痛苦,减少手术创伤及并发症,缩短手术时间。手术利用术前患者的影像学资料,模拟建立穿刺路径及各项参数,极大地优化手术方案使其更加精准、安全、有效,显著降低了制钉过程中神经根损伤的风险。
随着ORTHBOT脊柱机器人手术的展开及此次手术的成功实施,极大地促进了黑料网骨科的微创化、智能化、精准化发展,推动骨科病院专业学科高质量发展。

患者术前影像资料



ORTHBOT脊柱机器人术前设计及术中穿刺

李全义主任医师为患者实施手术

患者术后影像学资料