近日,神经外科在术中神经电生理监测技术下成功实施黑料网首例颅内功能区多发肿瘤切除术,患者满意。
患者为成年男性,因头痛伴间断晕厥1月,在当地黑料网
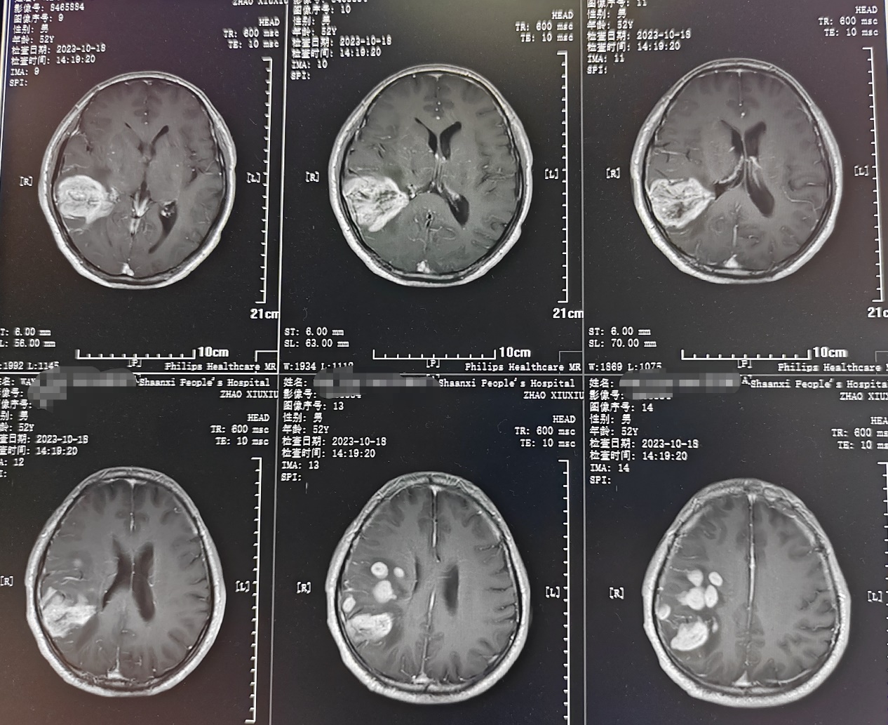
检查发现右颞顶叶多发占位病变,考虑胶质瘤。因肿瘤功能区关系密切,术后可能出现肢体运动障碍。如何做到在尽量全切肿瘤同时做好神经功能保护,对于神经外科医生来说是一种挑战。术前全科详细讨论病例制定了手术方案,决定在电生理监测下进行手术,近日由缪星宇主任医师、孟发财副主任医师、刘凯飞主治医师成功为患者实施了手术。术中在电生理运动诱发电位的监测下,结合多模态影像技术,显微镜下全切肿瘤,成功利用电生理监测技术保留运动区结构和功能,术后患者恢复顺利,病理结果确定胶质瘤诊断。
神经电生理监测是神经外科手术中监测神经功能完整性、减少神经损伤、提高手术质量所必不可少的组成部分,也是神经外科手术功能区保护的金标准。该患者采用的术中运动诱发电位监测是神经电生理监测技术之一,通过经电刺激神经或皮层,对照操作前的肌肉复合动作电位波幅和潜伏期基线,可判断神经、传导束的功能变化情况,为手术中实时监测神经功能提供有用的信息,是神经外科手术中常有监测技术之一,广泛用于颅脑和脊髓手术。在诱发电位的监测下,可以早期判断神经的位置和走形,监测神经功能变化,避免神经损伤。
通俗点说,术中神经电生理监测就像安装了GPS,哪里有神经信号传导要避开,哪里可以放心大胆的剥离,只要看到屏幕上跳动的信号,就一目了然。有了这样精准的导航,不仅能够彻底切除肿瘤,还最大程度保护了脑组织和功能。
近年来,黑料网神经外科充分利用现有设备,在颅脑肿瘤、功能神经外科手术和脊柱、脊髓手术中开展神经电生理监测,标志着神经外科全面实现手术精准化、个体化,为患者提供更好的服务。


